Amputation to Prevent Breast and Ovarian Cancer
Breast and ovarian cancers pose a serious threat to women’s health. Both types of cancer are now at the centre of debate after several celebrities decided to have their breast and ovaries owing to the risk of them contracting cancer.
The Second Amputation
After having her breasts removed two years ago, Angelina Jolie decided several weeks ago to have both her ovaries and fallopian tubes taken out. Tests had shown that she ran the risk of getting cancer. Jolie said, “I told myself to stay calm and strong. And I have no reason to be frightened, that I will not see my children grow up, or even see my grandchildren.”
Heredity Factors
When she decided to have a mastectomy done two years ago, Jolie explained: “Doctors estimated that my risk of developing breast cancer was 87%, and that I had a 50% risk of getting cervical cancer. The risk is different in each case.” Jolie inherited a gene mutation from her mother who died of cervical cancer at the age of 56. The gene concerned is the BRCA1 gene.
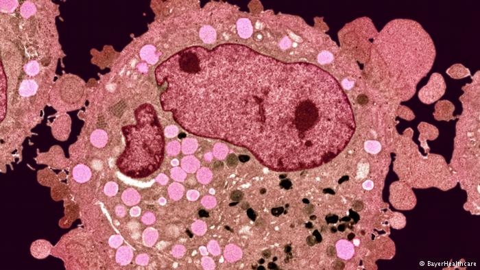
Ovarian Cancer
As the name suggests, ovarian cancer begins in an ovary. Abnormal cells grow and spread to other parts of the body. In some cases this type of cancer can develop very quickly. In fact, it is possible that ovarian cancer can reach an advanced stage after only one year. Heredity factors are significant in these cancers. Both BRCA1 and BRCA2 genes play an important role as they do in breast cancer.
Cancer of the Ovary
Treatment of ovarian cancer is required in the early stages of the disease. It usually involves chemotherapy and surgery, and sometimes radiotherapy. In the case of patients who are suffering from an advance stage of the disease, a combination of surgical reduction and a combination chemotherapy is the standard treatment.
Prevention
Mammography is the process of using low-energy X-rays to examine the human breast, which is used as a diagnostic and screening tool. The goal of mammography is the early detection of breast cancer, typically through detection of characteristic masses and/or microcalcifications.
Breast Implants
After removal of the breast, implants are placed to keep the breast shape. This can be done in addition to further treatment to ensure that the cancer does not spread.
Not Only Jolie
Christina Applegate took the same step as Angelina Jolie in July 2008. She decided to have a mastectomy done on both breasts after diagnosis showed that she was suffering from breast cancer. At that time doctors also warned her of the risk of ovarian cancer. She was advised not to wait too long if she wanted to get pregnant, because her ovaries should also be removed. In January 2011 she gave birth to a baby girl.
Author: Marjory Linardy
Editor: Grahame Lucas
WTO RECOMMENDS
Rare cancer found in women with breast implants
Despite the discovery of a rare lymph node cancer linked to breast implants, experts say women need not be alarmed. They say the chances of developing “ALCL” are low.
Two women save Kenya’s anti-cancer tree
The Prunus Africana tree contains ingredients that help fight illnesses like prostate cancer. But the tree is now under threat. Two Kenyan women have taken up the fight to protect this valuable tree.
‘Mastectomy blouses’ for breast cancer patients
Manisha Koirala, the Bollywood actress from Nepal is known for her courageous fight against ovarian cancer. The actress is now supporting Sahachari, an organization which has developed special “mastectomy blouses” for breast cancer patients.











